Limpeza dental sem dor existe — e está ao seu alcance.

Tecnologia avançada, sem sofrimento, com resultado visível desde a primeira sessão.

Limpeza dental sem dor existe — e está ao seu alcance.

Tecnologia avançada, sem sofrimento, com resultado visível desde a primeira sessão.

Protocolo de Limpeza Dental Sem Dor

Um novo jeito de cuidar do seu sorriso, sem dor e sem traumas!
Utilizamos uma tecnologia moderna que remove manchas, tártaro e biofilme de forma delicada, eficaz e confortável.

Zero dor

Jato suave de ar, água e partículas ultrafinas que limpam profundamente com conforto e sem sensibilidade.

Mais rápida e eficaz

Em poucos minutos, uma limpeza completa que deixa seu sorriso mais limpo, leve e saudável.

Remove biofilme, manchas e bactérias

Alcança áreas que a escova não consegue.

Previne doenças gengivais e mau hálito

Evita gengivite, periodontite e reduz as bactérias responsáveis por inflamação e odor desagradável.

Menos dor, mais resultado

Tecnologia suíça que transforma sua experiência no consultório.

Profilaxia guiada com AirFlow

Um dos grandes diferenciais do nosso protocolo! Com o AirFlow, a limpeza é mais profunda, delicada e muito mais confortável — tudo isso sem causar dor ou sensibilidade.

Seu sorriso limpo, saudável e com uma sensação de leveza logo nos primeiros minutos. 

Muito além da escova de dente.

Nossa limpeza vai além da higiene do dia a dia!

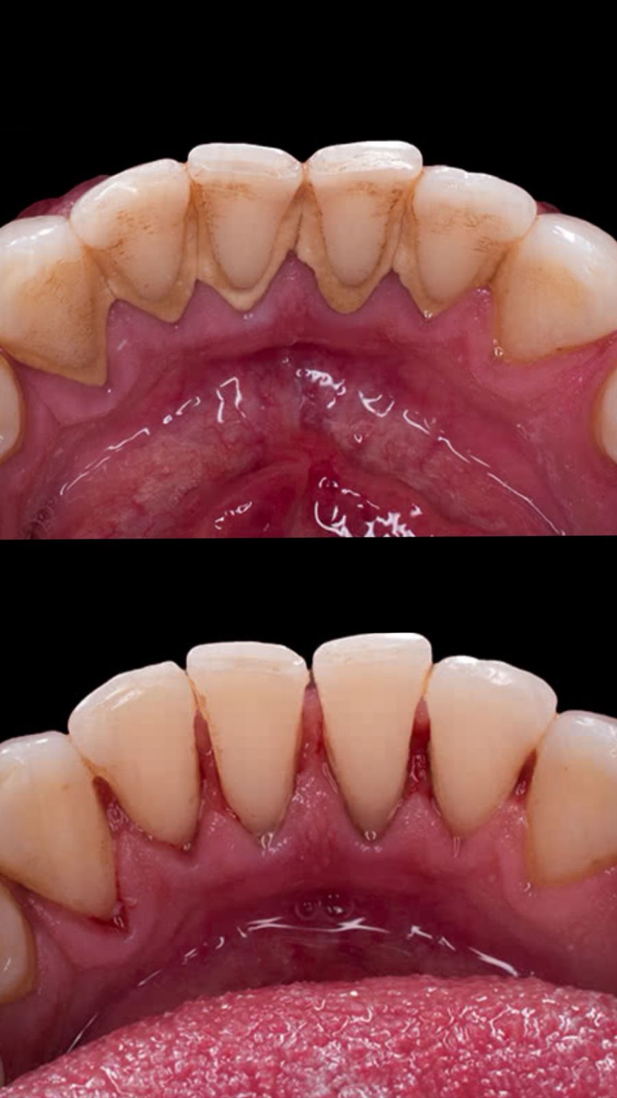
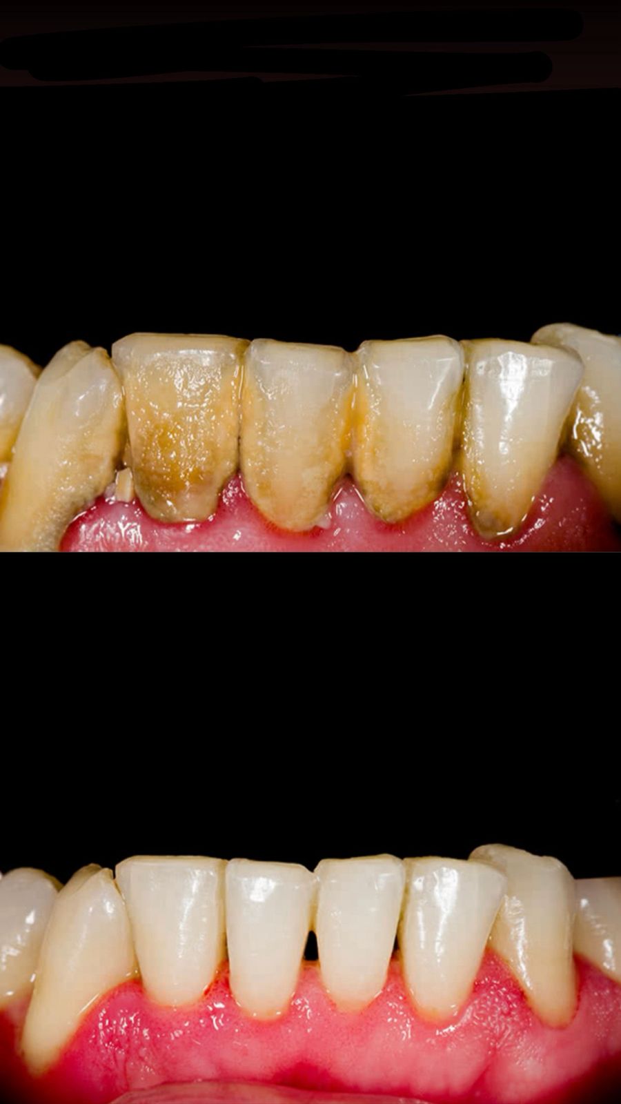
Ela remove o que a escovação não alcança: placa bacteriana, tártaro e manchas — tudo isso de forma suave, sem dor e com resultados visíveis já na primeira sessão.

Veja alguns resultados da Limpeza Dental Sem Dor:

CONHEÇA

Limpeza Dental Sem Dor: Conforto, Saúde e um Sorriso Renovado

Nosso protocolo exclusivo une tecnologia de ponta e um cuidado totalmente personalizado para transformar sua experiência no consultório.

Utilizamos o AirFlow®, um jato suave de ar, água morna e micropartículas ultrafinas de eritritol, que remove biofilme, manchas e bactérias com precisão — sem dor, sem desgaste e com muito conforto.

Quando necessário, usamos o ultrassom apenas em pontos estratégicos para eliminar tártaro, sempre com delicadeza.

E para cuidar ainda mais de você, incluímos uma sessão de laser terapêutico, que ajuda a reduzir a sensibilidade e acelera a regeneração dos tecidos.

Tudo isso em poucos minutos — com resultado visível desde a primeira sessão e uma sensação de leveza que você vai sentir na hora.

O que nossos pacientes dizem:

Veja como a Limpeza Dental Sem Dor tem ajudado pessoas como você a conquistarem um sorriso mais lindo e saudável.

Como é feita a Limpeza Dental sem Dor

O procedimento é rápido, seguro e suave, sem causar dor ou sensibilidade. Em poucos minutos, você sai com um sorriso mais limpo, saudável e com sensação de frescor imediato.

Avaliação rápida e personalizada

Receba uma análise completa e individualizada para entender as necessidades do seu sorriso.

Tecnologia Suíça AirFlow®

Um protocolo exclusivo com tecnologia suíça de última geração que realiza uma limpeza profunda, eficaz e incrivelmente confortável.

Orientação pós-procedimento

para manter o resultado por mais tempo

Ainda tem dúvidas?

Confira as perguntas e respostas frequentes:

Isso mesmo! Nosso protocolo é pensado pra ser confortável do início ao fim. Nada de dor ou sensibilidade — só leveza e bem-estar durante e depois da sessão.

Em média, 30 a 60 minutos, dependendo da quantidade de placa e tártaro.

Diferente das limpezas tradicionais, nosso protocolo usa o AirFlow®, uma tecnologia moderna que remove biofilme e manchas com jato suave de ar, água morna e micropartículas — sem instrumentos agressivos, sem dor e sem desgaste.
O resultado? Um sorriso limpo, saudável e leve desde a primeira sessão.

O ideal é a cada 6 meses para manter os dentes saudáveis e prevenir doenças gengivais.

Nosso protocolo é seguro e pode ser adaptado para praticamente todos os casos. Em situações específicas, fazemos ajustes com todo cuidado.

Ainda
tem dúvidas?

Confira as respostas:

Isso mesmo! Nosso protocolo é pensado pra ser confortável do início ao fim. Nada de dor ou sensibilidade — só leveza e bem-estar durante e depois da sessão.

Em média, 30 a 60 minutos, dependendo da quantidade de placa e tártaro.

Diferente das limpezas tradicionais, nosso protocolo usa o AirFlow®, uma tecnologia moderna que remove biofilme e manchas com jato suave de ar, água morna e micropartículas — sem instrumentos agressivos, sem dor e sem desgaste.
O resultado? Um sorriso limpo, saudável e leve desde a primeira sessão.

O ideal é a cada 6 meses para manter os dentes saudáveis e prevenir doenças gengivais.

Nosso protocolo é seguro e pode ser adaptado para praticamente todos os casos. Em situações específicas, fazemos ajustes com todo cuidado.

Contatos

Estamos prontos para te receber!

Limpeza Dental Sem Dor - Todos os Direitos Reservados | 2025